好奇3岁童 水银电池当糖吞
http://www.iruis.com 2010-11-12 来源:睿商网 查看: 次
推荐阅读:浴巾改造浴袍的做法 幼儿英语学习 幼儿早教方法 趣味横生儿童房

台中叁岁男童误吞超商的玩具内电池,幸好被排出。 照/台中慈济医院提供
3岁男童好奇下敲碎超商送的玩具,把玩具内的水银电池当糖吞下,父母发现后大为紧张,幸好电池被自然排出。医师提醒家长,装电池的玩具需注意螺丝是否栓紧,避免小朋友误食。
男童母亲说,儿子吞下的圆形电池,来自国内知名超商送的玩具,她发现玩具四分五裂,却找不到电池,想到可能已被儿子吞下,立即把儿子送到医院。
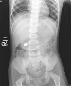
台中慈济医院小儿科医师李宇正先为男童做X光检查,果然看到圆形电池就卡在男童胃部,第二天再照X光,看到电池已掉到大肠,第叁天随粪便排出,但家长仍担心日后会影响儿子健康。

台中叁岁男童误吞超商的玩具内电池,做X光检查,果然看到圆形电池就卡在男童胃部。 照/台中慈济医院提供
李宇正指出,幼童误吞电池等异物时,需儘快送医。以男童为例,电池如果卡在食道,可能造成食道穿孔,卡在胃部,因为水银电池小于2公分,胃壁相对较厚,可观察能否自行排出,否则要用胃镜夹出,届时就需全身麻醉。
李宇正表示,多数学龄前的幼童好奇心重,看到新奇的东西就往嘴裡塞,超商、速食店送的小玩具,多数使用水银电池,这种电池体积小,外形像小饼乾,幼童很容易误吞,在幼童误食排行榜中,数量最多的就是水银电池。
小物品都可能被幼童当成食物,李宇正举例,曾有小朋友把妈妈的钻戒、珍珠耳环当成糖果吞下,他提醒家长收好零钱、电池、钮扣、弹珠等物品。 【联合报╱记者游振昇/台中报导】











